セラミック
/
さきた歯科医院 東淀川区
大阪府大阪市東淀川区下新庄5丁目2-19
トップページ
当院について
診療の流れ
審美歯科
インプラント
マウスピース矯正
セカンドオピニオン
口元に輝きを。自信をもって笑える喜びと幸せを感じて欲しい!
歯の色や形が気になって口元を隠して笑う方が大勢います。どれほどもったいないことか。素敵な笑顔はあなただけでなく、周りの人を幸せにします。あなたの幸せのためにセラミック治療を選択されてみてはいかがでしょうか。
セラミックは近年、益々の発展を遂げ、強度と透明性を兼ねそなえた被せ物のベストマテリアルとなりました。天然歯のようなセラミックは生体親和性もよく、ステインやプラークも付きにくく体に優しい被せ物です。
@茶色くなった前歯を1本セラミックした症例(ピンクの部分)
術前
術後
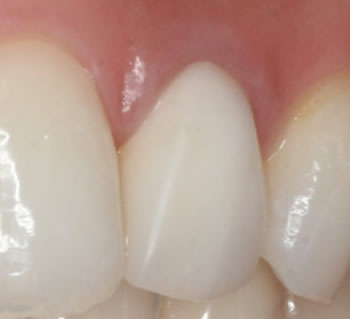
A前歯を1本セラミックにした症例
術前
術後
B奥歯の銀歯をすべてセラミックにした症例
術前
術後
セラミックのメリット
天然歯のような透明感
歯茎に優しく、汚れにくい(ステインが付きにくい)
虫歯になりにくい
経験豊富なセラミストによる作製(当院ならでは)
デメリット
良いものを作製するため時間がかかる場合がある
当院はセラミストと呼ばれる経験豊富な技工士に作製しています。
費用
セラミッククラウン
105,000円/1本
メタルボンドセラミッククラウン
90,000円/1本
セラミックTOP
|
安いセラミック
当院へのアクセス
〒533-0021 大阪市東淀川区下新庄5丁目2-19
阪急千里線 下新庄駅 東出口スグ
<阪急電鉄 千里線>
北千里
−
山田
−
南千里
−
千里山
−
関大前
−
豊津
−
吹田
−
下新庄
−
淡路
−
柴島
−
天神橋筋六丁目
<新大阪より> 約15分
新大阪
(御堂筋線)−
西中島南方
−乗り換え−
南方
(阪急千里線)−
下新庄
<千里中央より>(大阪モノレール) 約20分
千里中央
(大阪モノレール)−
山田
−乗り換え−
山田
(阪急千里線)−
下新庄
<千里中央より>(北大阪急行) 約25分
千里中央
(北大阪急行)−
西中島南方
−乗り換え−
南方
(阪急千里線)−
下新庄
<大阪駅より> 約20分
大阪
(JR)−
梅田
(阪急京都線・北千里行き)−
中津
−
十三
−
南方
−
崇禅寺
−
淡路
−
下新庄
<本町方面より> 堺筋線 北千里行
堺筋本町−北浜−南森町−扇町−天神橋筋六丁目−
柴島
−
淡路
−
下新庄
<茨木方面より> 阪急京都線
茨木市−南茨木−摂津市−正雀−相川−上新庄−淡路−乗り換え−
下新庄
お問い合わせ
お電話の方は
06−6160−1010
までご連絡下さい。
メールでのお問い合わせはこちらのページからお願いします
さきた歯科医院 東淀川区
大阪市東淀川区
下新庄5丁目2-19
トップページ
当院について
コロナ対策
院長紹介
フォトギャラリー
診療の流れ
よくあるご質問
求人・募集
アクセス
└
新大阪より
└
淡路より
└
吹田より
└
上新庄より
└
北千里より
└
千里中央(大阪モノレール)より
└
千里中央(北大阪急行)より
└
大阪より
お問い合わせ
リンク
インプラント
インプラント10年保証
審美歯科
セラミック
マウスピース矯正
セカンドオピニオン
虫歯
歯周病
歯内治療
小児歯科
ホワイトニング
顎関節症
歯のクリーニング
口腔内スキャナー
トップページ
当院について
コロナ対策
院長紹介
・
フォトギャラリー
診療の流れ
よくあるご質問
求人・募集
アクセス
お問い合わせ
リンク
インプラント
審美歯科
セラミック
マウスピース矯正
セカンドオピニオン
虫歯
歯周病
歯内治療
小児歯科
ホワイトニング
顎関節症
歯のクリーニング
口腔内スキャナー
さきた歯科医院 東淀川区
大阪府大阪市東淀川区下新庄5丁目2-19
ご予約・お問い合わせ:06-6160-1010
©さきた歯科医院